La Rodilla

Es una articulación grande y compleja, formada por estructuras óseas como el fémur, la tibia y la rótula, estructuras ligamentarias y tendinosas que permiten soportar el peso y una adecuada función del miembro inferior.

Es susceptible de muchas lesiones, debido a su función compleja y a las exigencias diarias a las que es sometida.

La rodilla
Es una articulación grande y compleja, formada por estructuras óseas como el fémur, la tibia y la rótula, estructuras ligamentarias y tendinosas que permiten soportar el peso y una adecuada función del miembro inferior.

Es susceptible de muchas lesiones, debido a su función compleja y a las exigencias diarias a las que es sometida.
Lesiones frecuentes
¿CUÁLES SON?

Tendinitis: es la inflamación de las estructuras tendinosas, principalmente el tendón rotuliano y el tendón del cuádriceps. causa de dolor frecuente de la rodilla.

Lesiones frecuentes

¿Cuáles son?

  • Tendinitis: es la inflamación de las estructuras tendinosas, principalmente el tendón rotuliano y el tendón del cuádriceps. Causa de dolor frecuente de la rodilla.
  • Lesiones meniscales: los meniscos son estructuras fibrocartilaginosas que permiten una adecuada congruencia articular. Su lesión es una de las causas más frecuentes de dolor y limitación funcional de la rodilla.
  • Roturas ligamentarias: los ligamentos cruzados (anterior y posterior) se lesionan cada vez con mayor frecuencia debido a las exigencias a las que son sometidos por las actividades deportivas y funcionales de los pacientes. Requiriendo, en la mayoría de los casos, un tratamiento quirúrgico.
  • Lesiones osteocondrales: el cartílago articular es una estructura que cubre las superficies óseas en la articulación y que permite una óptima función sin dolor. Su daño, produce dolor e incapacidad funcional.

Tratamientos

Medicina física

Primera línea de tratamiento en los diversos problemas de la rodilla.

Cirugía artroscópica

Cirugía mínimamente invasiva con el apoyo de video. a través de pequeñas incisiones se pueden resolver la mayoría de patologías de la articulación. Meniscectomías parciales, suturas meniscales, retiros de cuerpos extraños, lesiones osteocondrales y reconstrucciones ligamentarias se pueden resolver por esta vía.

Cirugía abierta

Cirugía convencional, que nos permite solucionar problemas como fracturas y artrosis de la rodilla. Permitiendo colocar placas y tornillos e incluso una prótesis de ser necesario.

Tratamientos
Medicina física
Primera línea de tratamiento en los diversos problemas de la rodilla.

Cirugía artroscópica

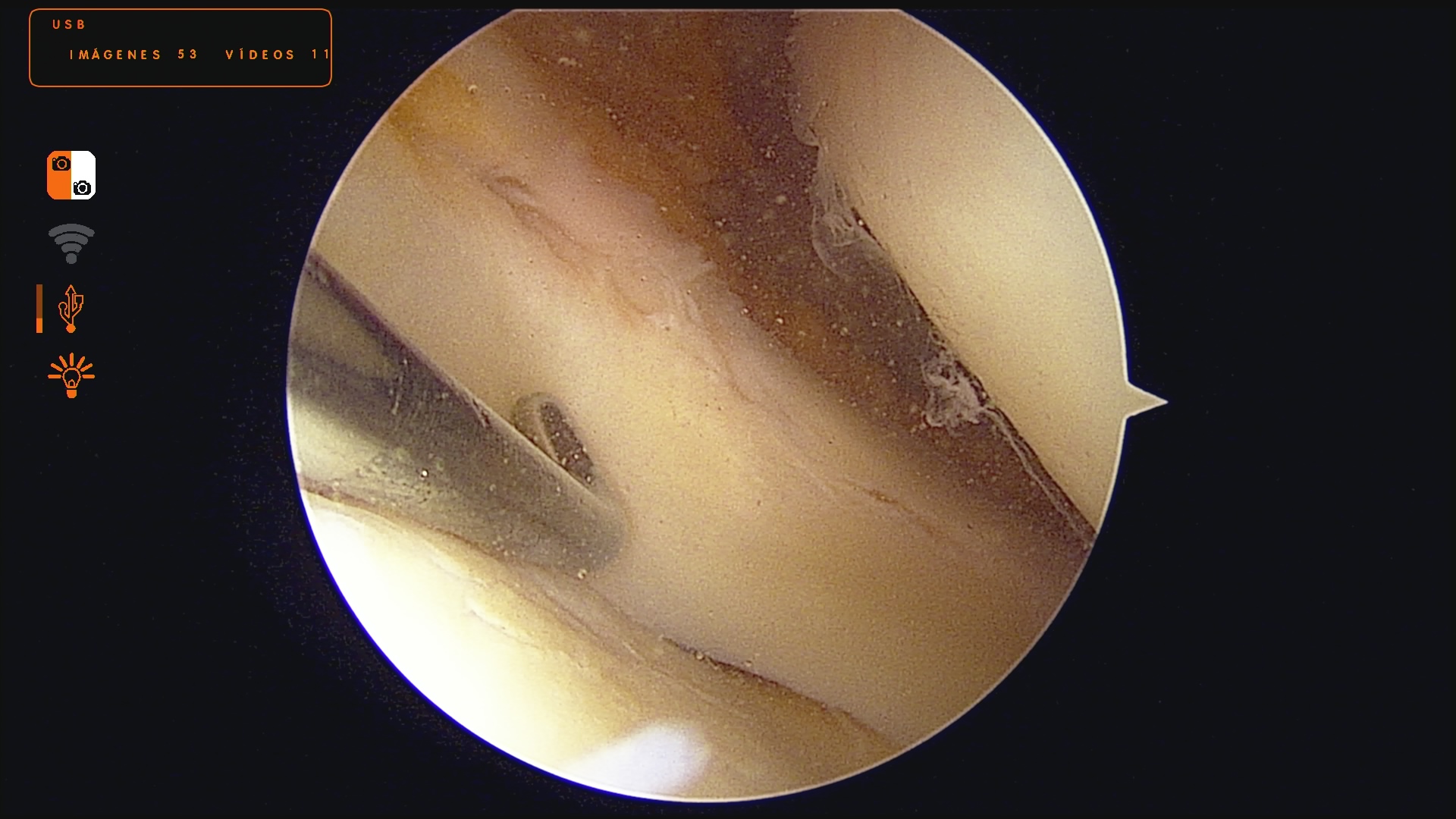
Procedimientos Quirúrgicos en la Rodilla

Lesión meniscal

Menisectomía parcial más remodelación meniscal

Suturas meniscales

Reconstrucción de Ligamento Cruzado Anterior de la Rodilla

Nuestros Pacientes nos recomiendan

Testimonios

Conoce qué opinan tras sus intervenciones quirúrgicas.